Tooth-Coloured Fillings in Burnaby
Repair decay with seamless composite fillings in Burnaby. Precise, gentle treatment supported by advanced imaging and personalized care.

What our Patient Think About Us?
Posted on loveleen dhanoaTrustindex verifies that the original source of the review is Google. I was scheduled for full checkup and cleaning. Randeep was so sweet, polite and experienced. At every point of the appointment, she made sure that I knew what was happening and If I was in any pain. She made my experience very smooth and less scary. She did an amazing job on cleaning and explaining everything. Dr. Sasan explained clearly about what is needed or not about my dental insecurities. Front Staff was nice and polite. Highly recommended!Posted on James YipTrustindex verifies that the original source of the review is Google. Amazing staff and facilities here and had a great time doing regular check up and cleanings. Would love to be backPosted on fardad faridiTrustindex verifies that the original source of the review is Google. Thanks for your good servicePosted on Alyoshka MyshkoTrustindex verifies that the original source of the review is Google. Posted on Carlotta CrestanelloTrustindex verifies that the original source of the review is Google. The best experience!! I was so nervous for my wisdom tooth extraction and the whole staff was so supportive. Highly recommended, everyone should feel like this when they go to the dentist. I ended up having fun!!!Posted on Sunny Lee-GordonTrustindex verifies that the original source of the review is Google. Ghazal was informative and caring! Loved my cleaning session with her :) definitely will come back!Posted on Elan AsselstineTrustindex verifies that the original source of the review is Google. Have come here for several years and now come with my kids (7 and 4), great experience, very friendly.Posted on Andrew WuTrustindex verifies that the original source of the review is Google. Patient and kind with their service. Much needed when it comes to teeth cleaningPosted on Layla SongTrustindex verifies that the original source of the review is Google. The dentist was professional and gentle – the whole experience was smooth and comfortable. Highly recommend!Posted on Jas JaskaranTrustindex verifies that the original source of the review is Google. Great service, staff and doctor are friendly. They’re giving very open and transparent service so feel comfortable with all the procedures and treatments.
Tooth Fillings Burnaby
A cavity doesn’t have to affect your comfort or confidence. At Burnaby Dentist & Orthodontist, we use tooth-coloured composite fillings to repair decay and blend with your natural enamel. Our conservative approach preserves healthy tooth structure while providing long-lasting protection.
Using digital imaging and diagnostic tools such as digital X-rays, CBCT when needed, and NIRI technology through our iTero scanner, we support early identification of decay and informed treatment planning. For your comfort, treatment is completed with local anesthesia and, when appropriate, oral sedation.
If you have tooth sensitivity, a chipped tooth, or newly detected decay, our team is ready to assist you.
When clinically appropriate, we assess concerns promptly and outline next steps, including any recommended follow-up care. The goal is to restore the tooth’s function and appearance while supporting ongoing oral health.

When Do You Need a Dental Filling?
Cavities often start small and painless. Early detection prevents deeper decay, sensitivity, and the need for more advanced treatments. At Burnaby Dentist & Orthodontist, we use modern diagnostic tools to identify issues early and protect healthy tooth structure.

Common Signs You Need a Filling
You may require a filling if you’re experiencing:
- Sensitivity to cold or sweet
- A visible dark spot
- Rough or chipped edges
- Food catching in one area
- Occasional chewing discomfort
We also provide urgent dental fillings in Burnaby for patients experiencing sudden sensitivity, visible fractures, or recently detected decay. Prompt treatment can prevent the need for more complex procedures.
If decay reaches the nerve and causes persistent pain, we may recommend a root canal to fully restore the tooth. Learn more about our root canal treatment in Burnaby.

How Dentists Detect Cavities Using X-Rays
Our team uses:
- Digital X-rays for between-tooth decay
- NIRI technology (iTero) for early enamel breakdown
- Diagnocat AI for enhanced X-ray analysis
This allows us to spot concerns early and treat them conservatively.

Why Early Treatment Protects Your Tooth
- Saves more natural teeth
- Prevents deeper infection
- Reduces the need for larger restorations
- Supports improved comfort as the tooth heals
Timely care helps you avoid more complex treatments later and keeps your smile healthy long-term.
At Burnaby Dentist and Orthodontist Clinic
Begin Your Smile Journey with Dr. Hadianfar

Composite Fillings vs. Amalgam Fillings: What's the Difference?
Understanding your options helps you make informed decisions about your dental care. Here’s how composite (white) fillings compare to traditional amalgam (silver) fillings:
| Feature | Composite (White) Fillings | Amalgam (Silver) Fillings |
|---|---|---|
| Appearance | Tooth-Coloured, Natural-Looking | Silver/Gray, Highly Visible |
| Bonding | Bonds Directly to Tooth Structure | Requires More Removal of Healthy Tooth Structure |
| Durability | 7–10 Years (Can Last 10–15 With Good Care) | 10–15+ Years, Especially in Back Teeth |
| Material | Resin-Based, Mercury-Free Composite | Contains ~50% Elemental Mercury With Silver Alloys |
| Temperature Sensitivity | Lower Thermal Expansion Compared to Metal Materials | Higher Thermal Expansion; Can Stress Tooth Over Time |

Benefits of Tooth-Coloured Composite Fillings
- Natural, enamel-matching appearance
- Preserves healthy tooth structure
- Metal-free and biocompatible
- Bonds securely to the tooth
- Repairable if chipped or worn
When Amalgam May Still Be Used
Although Burnaby Dentist & Orthodontist does not use amalgam fillings, it’s helpful to understand when they may still be recommended in general dental practice.
In rare cases (such as when patients have limited access to care, difficulty maintaining dry conditions for white fillings, or require a strong restoration in a back molar) some dentists may consider amalgam as a last-resort option.
However, for patients at our Burnaby clinic, we exclusively use tooth-coloured, mercury-free materials that meet both aesthetic and biocompatibility standards.
Choosing the Right Option for You
Your dentist will consider:
- Tooth location and bite pressure
- Size of the cavity
- Aesthetic goals
- Long-term oral health needs
What to Expect During a Dental Filling Appointment
A filling appointment is straightforward and typically completed in one visit. At Burnaby Dentist & Orthodontist, we use gentle, conservative techniques to restore the tooth with care and accuracy.
Diagnosis and Preparation
We confirm the cavity with digital imaging and numb the area for comfort.


Removing Decay and Cleaning
Decay is gently removed, and the tooth is cleaned and prepared.
Placing and Shaping the Composite
Composite is layered, shaped, and hardened for a precise fit.


Polishing and Bite Adjustment
We smooth the filling and check your bite for natural function.
Book your consultation Today!
Dental Fillings in Burnaby. Safe, Comfortable Treatment to Restore Cavities and Protect Your Teeth. Book Your Visit Today.
Longevity and Aftercare for Dental Fillings
Composite fillings are designed for long-lasting strength and natural function. With proper care and routine checkups, they can protect your smile for many years. If a filling cracks or the tooth weakens over time, we may recommend options within our restorative dental services in Burnaby to rebuild and protect the tooth.
How Long Composite Fillings Last
Composite fillings are durable and typically last for years with good oral hygiene and regular dental visits.
Tips for Extending
Lifespan
Brush and floss daily, avoid chewing hard items, and maintain routine cleanings to keep the filling stable.
When to Replace or Refinish a Filling
If you notice sensitivity, roughness, or a crack, visit us for an assessment to protect the tooth before it worsens.
Cost of Dental Fillings in Burnaby

The cost of a filling depends on the size of the cavity and the tooth being restored. We provide clear estimates before treatment so you know exactly what to expect.
Cost varies based on tooth location, cavity size, and required materials.
We offer direct billing for major providers, including:
CDCP
Pacific Blue Cross
Sun Life
Manulife
Green Shield
Canada Life
A dental filling is a common and effective way to manage early tooth decay and protect your tooth for years to come.
Our team reviews all fees in advance and helps you understand the most suitable option for your treatment and budget.
Fillings for Children and Teens
Children and teens are especially prone to cavities, and early treatment helps protect their developing smiles.
At Burnaby Dentist & Orthodontist, we focus on gentle, positive experiences designed to help make appointments easier for young patients.
a calm, supportive environment designed to help young patients feel at ease

When Kids Need Fillings
We recommend fillings when decay is present or when a tooth is chipped or weakened.

Material Choices for Young Patients
Tooth-coloured composite is used for a natural look and strong, reliable bonding.

Preventing Future Cavities in Children
Good brushing habits, routine cleanings, and sealants help reduce future risk.
Our team works closely with parents to ensure children understand each step and feel comfortable throughout their visit. With early care and regular checkups, we help protect their teeth as they grow.

Preventing Future Cavities
Regular cleanings and exams through our preventive dental services in Burnaby help reduce future cavity risk and maintain long-term oral health.

Regular Dental Exams and Cleanings
Professional visits help catch problems early and keep your teeth clean.
- Remove hardened plaque
- Check for early decay
- Monitor existing fillings
- Polish teeth to reduce buildup
- Apply fluoride when needed
- Update digital X-rays as required
Recommendation:
Schedule your next dental cleaning in Burnaby before you leave the office.

Diet and Lifestyle Adjustments
Daily habits play a major role in cavity prevention.
⚠️ Foods to Limit:
- Sugary drinks and sodas
- Candy and sweets
- Acidic foods and beverages
- Starchy snacks
✓ Foods That Protect Teeth:
- Dairy products
- Crunchy vegetables
- Nuts and seeds
- Water (especially fluoridated)

The Role of Fluoride and Sealants
Simple treatments that strengthen teeth and prevent decay.
Fluoride Treatment in Burnaby:
- Strengthens enamel
- Helps reverse early decay
- Quick, painless application
- Often recommended every 6 months 1
- Protect deep grooves in molars
- Prevent food and bacteria buildup
- Last several years
- Ideal for children and teens
CDCP
Important Information for CDCP Patients
Treatment under the Canadian Dental Care Plan is not fully covered. A co-payment will apply.

Why Choose Burnaby Dentist & Orthodontist for Tooth Fillings

Our goal is to make every filling comfortable, precise, and long-lasting. With advanced diagnostics and a gentle approach, we restore your tooth in a way that feels natural and supports your long-term oral health.
Gentle, Patient-Focused Care
We prioritize comfort with clear explanations, conservative techniques, and a calm, supportive environment.
Modern Technology and Biocompatible Materials
Digital X-rays, NIRI through iTero, and Diagnocat AI help us detect decay early and place strong, tooth-coloured fillings that blend in seamlessly.
Trusted by Burnaby Families
Local patients rely on us for reliable care, detailed follow-ups, and treatment plans that reflect their individual needs—not a one-size-fits-all approach.
Convenient Metrotown Location
Located near major transit routes with free onsite parking, we make visits easy for patients across Burnaby and nearby neighbourhoods.
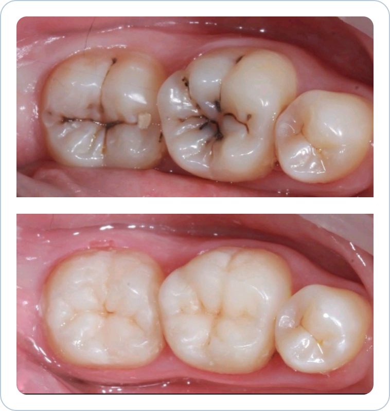
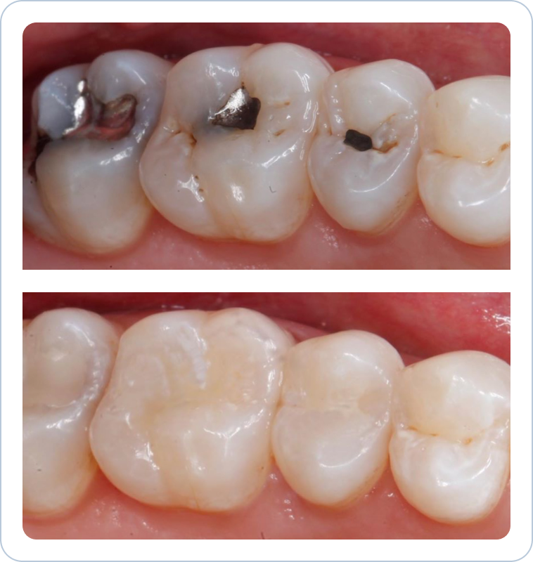
Before and After Tooth Filling Results
Composite fillings are placed to restore tooth structure and appearance. Outcomes vary based on individual oral health, tooth condition, and care. Any images or descriptions are illustrative and not a guarantee of results.


Book Your Tooth Filling Appointment
Treating a cavity early protects your tooth and prevents the need for more complex care. Our team provides gentle, precise composite fillings supported by advanced diagnostics like digital X-rays, NIRI through iTero, and Diagnocat AI.
If you’re dealing with sensitivity, a visible spot, or a chipped area, we’ll assess the tooth and recommend the best solution. When decay is deeper or discomfort increases, we also offer responsive dental emergency care in Burnaby for urgent situations.
We’re centrally located near Metrotown, with free onsite parking and direct billing to major insurance providers.
- Visit us: 3999 Kingsway-Burnaby, BC V5H 1Y8
- +1 (604) 437-7723
FAQs
Are dental fillings painful?

Local anesthesia keeps the procedure comfortable. Most patients feel only mild pressure, and any sensitivity after treatment typically fades within a few days.
How long do composite fillings last?

With good brushing habits and regular checkups, composite fillings usually last many years and remain strong, stable, and natural-looking.
Can I replace my old metal fillings?

Yes. Composite materials can replace worn or visible metal fillings, improving durability and appearance while preserving the tooth's structure.
What happens if I delay getting a filling?

Delaying treatment lets decay spread deeper, increasing the risk of pain, infection, or needing advanced care such as crowns or root canal therapy.
How do I know if I need a filling?

Sensitivity, dark spots, rough edges, or a chip may indicate decay. Regular exams help detect issues early and avoid larger restorations.
Contact Us Today!
Contact Burnaby Dentist and Orthodontist About Dental Fillings Today
- Straighten crooked and misaligned teeth
- Conceal chips, cracks, and discoloured teeth
- Whiten and brighten your smile
- Take years off the look of your teeth
- Boost your self-esteem!
Monday
9 AM – 5 PM
Tuesday
8 AM – 5 PM
Wednesday
9 AM – 6 PM
Thursday
9 AM – 5 PM
Friday
9 AM – 5 PM
Saturday
9 AM – 4 PM